O pacientă în vârstă de 59 de ani s-a prezentat la Spitalul Multidisciplinar Arcadia pentru un consult de specialitate în Ortopedie, la aproximativ 6 luni după un traumatism survenit prin cădere de la propria înălțime, cu impact direct asupra șoldului stâng.
În urma accidentului, pacienta a suferit o fractură de femur proximal, pentru care s-a efectuat inițial o intervenție chirurgicală de osteosinteză prin reducerea fracturii și fixarea acesteia cu o placă metalică de tip DCS (Dynamic Condylar Screw). Alegerea acestui implant a fost influențată de particularitățile cazului, în special obezitatea de gradul III, care a limitat utilizarea unei tije centromedulare la momentul intervenției inițiale.
Placa DCS este un implant conceput în principal pentru fracturile femurului distal. Deși poate fi adaptată și pentru alte localizări, utilizarea sa la nivelul femurului proximal nu oferă întotdeauna o soluție biomecanică optimă, întrucât forțele exercitate în această zonă sunt considerabil mai mari. Aceste solicitări cresc riscul de suprasolicitare mecanică a implantului și pot întârzia sau împiedica procesul de consolidare osoasă.
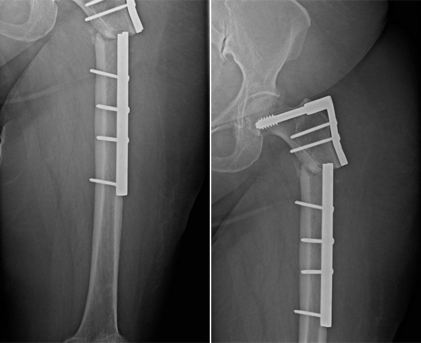
La prezentarea în cadrul Spitalului Multidisciplinar Arcadia, pacienta acuza dureri importante la nivelul coapsei stângi, atât în repaus, cât și la mobilizare, asociate cu imposibilitatea sprijinului pe membrul inferior afectat. Examinarea imagistică (vezi imaginea aici) a evidențiat ruperea plăcii metalice și lipsa vindecării fracturii, cu apariția unei pseudartroze, o complicație în care capetele osoase nu se mai unesc, iar în zona fracturii se formează o articulație falsă ce împiedică consolidarea normală a osului.
În anamneză s-a remarcat și administrarea unui tratament medicamentos din clasa bisfosfonaților, utilizați pentru reducerea resorbției osoase. Deși aceste medicamente cresc densitatea osoasă, ele pot încetini procesul fiziologic de remodelare a osului, favorizând acumularea de microleziuni și crescând riscul de eșec mecanic al implanturilor, în special în condițiile unei încărcări mecanice crescute. Greutatea pacientei era similară cu cea de la momentul primei intervenții.
Tratament chirurgical modern prin implantarea unei tije centromedulare
Având în vedere complexitatea cazului, s-a decis efectuarea unei intervenții chirurgicale de revizie, în mai multe etape. Aceasta a inclus îndepărtarea implantului anterior, curățarea focarului de fractură de țesutul fibros, realinierea fragmentelor osoase și stabilizarea femurului prin montarea unei tije centromedulare, completată de aplicarea unui substituent osos sub formă de pastă pentru umplerea defectului osos.
Intervenția chirurgicală a avut o durată de aproximativ 3 ore și a fost încadrată ca procedură de complexitate ridicată. Pacienta a fost spitalizată timp de aproximativ 5 zile, iar recuperarea articulară a fost inițiată precoce, imediat după intervenție. Pentru a preveni suprasolicitarea implantului, sprijinul complet pe membrul inferior stâng a fost amânat până la evaluarea radiologică de la 6 săptămâni postoperator.
Controalele imagistice efectuate la 6 săptămâni, 3 luni (vezi imaginea aici) și 6 luni au evidențiat o evoluție locală favorabilă, cu reluarea treptată a sprijinului și îmbunătățirea funcției membrului inferior stâng.
Ca parte a abordării multidisciplinare, pacienta a fost îndrumată către un specialist în Nutriție, reușind în decurs de aproximativ 7 luni o scădere ponderală de peste 20 de kilograme, cu beneficii importante asupra recuperării, mobilității și sănătății generale.
Avantajele tijei centromedulare
Utilizarea tijei centromedulare reprezintă standardul modern de tratament în multe tipuri de fracturi ale femurului, datorită avantajelor sale biomecanice și funcționale semnificative. Fiind poziționată în axul central al osului, tija preia mult mai eficient forțele de încărcare comparativ cu placa DCS, reducând stresul mecanic exercitat asupra implantului și favorizând o distribuție uniformă a presiunii.
Această stabilitate superioară permite:
- o fixare solidă a fragmentelor osoase;
- un risc redus de rupere sau slăbire a implantului;
- o reluare rapidă a mobilizării și a recuperării funcționale;
- posibilitatea încărcării progresive cu greutate într-un interval scurt de timp;
- o vindecare osoasă eficientă, chiar și în cazuri complexe sau de revizie chirurgicală.
În plus, tehnica de montare a tijei este minim invazivă, cu traumatism redus asupra țesuturilor moi, pierdere sanguină minimă și un risc scăzut de complicații postoperatorii.
Spitalul Multidisciplinar Arcadia oferă soluții chirurgicale avansate, adaptate fiecărui pacient. Un diagnostic corect, alegerea implantului potrivit fiecărui tip de fractură și o monitorizare atentă pe termen lung sunt esențiale pentru o evoluție favorabilă.
Pentru programarea unei consultații de specialitate în Ortopedie, pacienții au la dispoziție numărul de telefon 0232 920, Call Center Arcadia.


























































