Etichetă: studii
Elena Lasconi a terminat Universitatea privată Ecologică, la Deva. A avut...
Elena Lasconi a terminat Universitatea privată Ecologică, la Deva, lucru pe care l-a ținut secret. Lasconi a terminat una din cele mai slabe Universități...
Ministerul Educaţiei îşi bate joc de doctoranzi
Liga Studenţilor (LS IAŞI) solicită Guvernului adoptarea unei ordonanţe de urgenţă (OUG) de modificare a Legii învăţământului superior prin care să fie corectate anomaliile...
Proprietarii de terenuri vor fi obligați să permită accesul pe proprietăți...
O modificare legislativă care urmează să fie aprobată de către Guvern are ca scop accelerarea proiectării lucrărilor la proiectele mari de infrastructură prin scutirea de...
Șeful de promoție de la Colegiul Național „Costache Negruzzi”, Theodor Bulacovschi...
Theodor Bulacovschi este seful de promoție de la Colegiul Național „Costache Negruzzi" si a obtinut nota zece la Bacalaureat. Practic, acesta a fost ultimul...
Dan Podaru denunță „epurarea politică” din interiorul Universității București
Dan Podaru, prodecanul Facultății de Jurnalism din cadrul Universității București lansează acuzații grave după ce a fost revocat din funcție, considerând că în spatele...
8 miniștri nu trebuie să fie în guvern. Nu au studii...
Opt miniștri din guvernul Ciolacu nu au studiile necesare pentru a administra domeniile pe care le conduc. Unii dintre ei nu au nici măcar...
Directorul Centrului de Studii Postcomuniste: „Desi a facut progrese remarcabile, Romania...
Ucraina postcomunista este o tara cu o instabilitate politica si cu nivele de coruptie si ineficienta guvernamentala, care erau date ca exemplu negativ in...
Cât de scump e să studiezi în Marea Britanie după Brexit...
Marea Britanie a decis, în 2016, în urma unui referendum, ieșirea din Uniunea Europeană, decizie denumită generic Brexit. Schimbările care au venit odată cu...
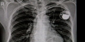
Cardiologii români care au implantat unor pacienți stimulatoare cardiace luate de...
Știrea despre macabra afacere românească a refolosirii stimulatoarelor cardiace extrase din cadavre a făcut înconjurul lumii. Dar reșaparea ilegală a echipamentelor nu este o...
Studii pentru realizarea rețelelor de utilități pentru Spitalul Regional de Urgentă
Municipalitatea pregătește realizarea rețelelor de utilități (apă, canalizare, electricitate, gaz, internet) pentru viitorul Spital regional de Urgență din Moara de Vânt. În acest scop...



























































